Budapest
2025 október 30., csütörtök

Tech

Minden hír

1 hónappal ezelőtt

A meggyilkolt Charlie Kirk hangja szól: köszöni, jó helyen van, de mindenki más térjen vissza a harcba

A nemrég meggyilkolt Charlie Kirk konzervatív keresztény aktivistát halála után a mesterséges intelligencia egyre több helyen tartja életben, komoly etikai kétségeket felvetve.

1 hónappal ezelőtt

Daganat: 99%-nál is nagyobb a túlélés esélye, de csak akkor, ha időben veszik észre az emlőrákot

A mellrák a leggyakoribb rosszindulatú daganatos betegség a nők körében, minden 14. másodpercben születik egy ilyen diagnózis a világon, hazánkban pedig több mint 7500 új esetet fedeznek fel évente. A betegség egyre fiatalabb korosztályt érint, ami komoly figyelmeztetés arra, hogy az életmódbeli tényezők mind a megelőzés, mind a kezelés során kulcsszerepet játszanak.

1 hónappal ezelőtt

Új processzorok kerülnek a számítógépekbe, a PC-k világában is villant a Qualcomm

Bár a Snapdragon processzorokról elsősorban az androidos világban lehet hallani, a Qualcomm azért a PC-ken is rajta tartja a szemét. Frissen bejelentett processzorai, a Snapdragon X2 Elite és az X2 Elite Extreme jelentős teljesítmény- és hatékonyságnövekedést ígérnek a windowsos PC-kben.

1 hónappal ezelőtt

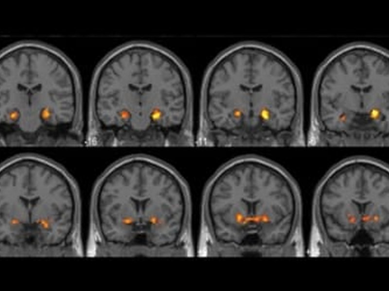
Bejuttattak egy vírust az agyba, 75 százalékkal lassult a halálos Huntington-kór lefolyása

Brit kutatók vizsgálata szerint évekkel, vagy akár évtizedekkel is meghosszabbíthatja a Huntington-kórban szenvedő betegek életét egy új génterápia.

1 hónappal ezelőtt

Súlyosan környezetszennyezőek a telefontokok – veszélyek, számok, megoldások

30 tonna telefontok-hulladék keletkezik minden évben, a probléma pedig egyre csak súlyosbodik. A legtöbb kiegészítővel az a baj, hogy műanyagból készül, és végül a kukában landol – van, hogy idejekorán. De mit tehet a felhasználó? Meglepően sokat.